Tek Seansta Porselen Kaplama

Dişin hazırlanmasından sonra ağız içi dijital tarayıcı ile ölçü alınıp kaplamanın bilgisayar destekli
olarak aynı gün hazırlanması ve takılması işlemidir. Bu yöntem CAD/CAM Dental Technology
sistemleri ile yapılır.

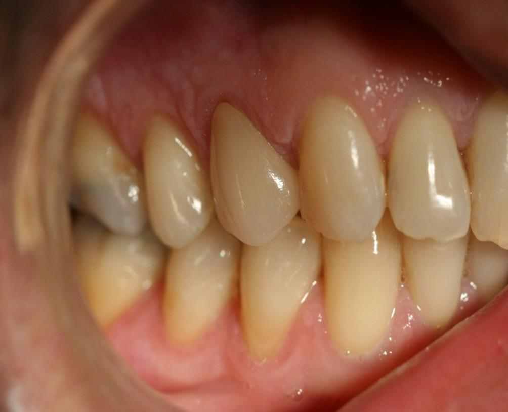
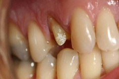
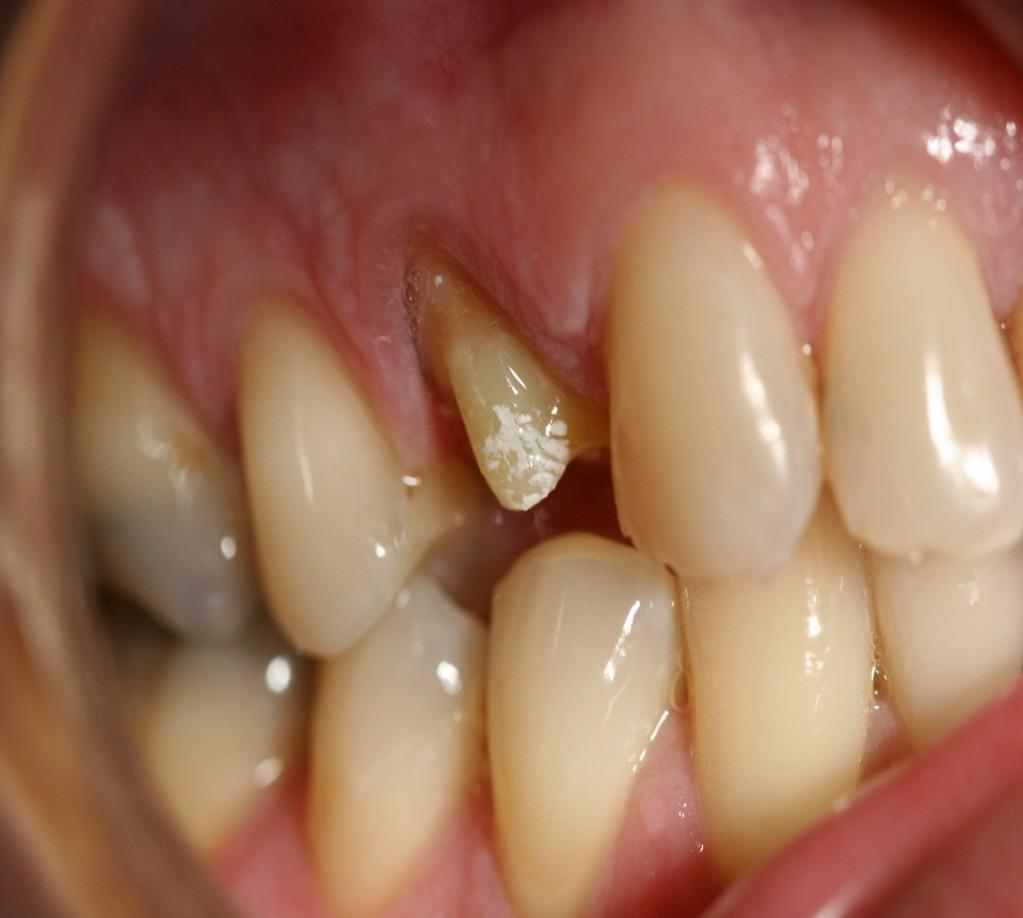
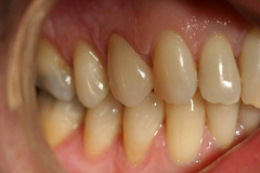
Kaplama yapılacak diş minimum miktarda küçültülerek kaplama için yer açılır. Geleneksel silikon
ölçü yerine ağız içi tarayıcı ile dişlerin 3D görüntüsü alınır. Diş kaplaması bilgisayar programında
tasarlanır. Tasarlanan kaplama özel freze cihazı ile seramik bloktan kazınır ve ağızda yapılan
provanın ardından cilalanarak aynı gün kalıcı olarak yapıştırılır.

 

Avantajları Nelerdir?

Tek seansta tamamlandıkları için zaman tasarrufu sağlarlar.
Geçici kaplama gerektirmezler.
Daha hassas, uyumlu ve doku dostu kaplamalar yapılabilir.

Kullanılan Malzemeler Nelerdir?

Tek seansta dijital ölçü ile yapılan diş kaplamalarında genellikle blok halinde hazır seramik
materyaller kullanılır.

En sık kullanılan malzemeler:

1. Lityum Disilikat (E-max)
2. Zirkonyum Dioksit
3. Feldspatik Seramik
4. Hibrit Seramik (Seramik + Kompozit karışımı